1
Anti-PIP2;7 | Plasma membrane aquaporin, N-terminal
AS22 4812 | Clonality: Polyclonal | Host: Rabbit | Reactivity: Arabidopsis thaliana, Nicotiana benthamiana
This product is a replacement of AS09 469
- Product Info
-
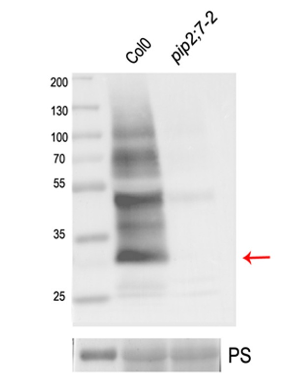
Immunogen: KLH-conjugated synthetic peptide derived from Arabidopsis thaliana N-termina of PIP2;7 UniProt:P93004,TAIR:At4g35100 Host: Rabbit Clonality: Polyclonal Purity: Affinity purified serum, in PBS pH 7.4 Format: Lyophilized Quantity: 50 µg Reconstitution: For reconstitution add 50 µl, of sterile or deionized water. Storage: Store lyophilized/reconstituted at -20°C; once reconstituted make aliquots to avoid repeated freeze-thaw cycles. Please, remember to spin tubes briefly prior to opening them to avoid any losses that might occur from lyophilized material adhering to the cap or sides of the tubes. Tested applications: Western blot (WB) Recommended dilution: 1 : 1000 (WB) Expected | apparent MW: 29.7 | kDa (due to N-terminal or C-terminal processing) - Reactivity
-
Confirmed reactivity: Arabidopsis thaliana, Nicotiana benthamiana Predicted reactivity: Amaranthus tricolor, Beta vulgaris sp. vulgaris, Brassica oleracea, Fagus sylvatica, Jatropha curcas, Juglans regia, Populus tremulax Populus tremuloides, Spinacia oleracea, Vitis vinifera
Species of your interest not listed? Contact usNot reactive in: Solanum lycopersicum - Application Examples
-

15 µg/well of total protein extracted freshly from 10 days old Arabidopsis thaliana plantlets grown in vitro. Exact buffer components were 300 ul Laemmli buffer (125mM Tris HCl pH 6.8, 2.5 % SDS, 20% (v/v) glycerol), 0.01% bromophenol blue, +20mg/ml DTT) and denatured at 65 °C for 10 min. Samples were separated in room temperature at SDS-PAGE and blotted to PVDF (pore size of 0.2 µm), using semi-dry transfer at room temperature. Blot was blocked with 5% milk 0.02% tw20 in TBS 1h/RT with agitation. Blot was incubated in the primary antibody at a dilution of 1: 2000, 2.5% milk, 0.02% tw20 in TBS-T ON/4°C with agitation. The antibody solution was decanted and the blot was rinsed briefly twice, then washed 2 times for 15 min in 2.5% milk, 0.02% tw20 in TBS at RT and once for 15 min in TBS at RT. Blot was incubated in matching secondary antibody (anti-Rabbit HRP) diluted to 1: 20 000 in 2.5% milk, 0.02% tw20 in TBS for 2 h/RT with agitation. The blot was washed as above and developed with a following chemiluminescent detection reagent West Dura (Thermo, ref 34075). Exposure time was 1 seconds.
Courtesy of
Samples:
1 - Arabidopsis thaliana Col-0 of 11-day-old seedlings, phosphate (Pi) sufficiency
2 - Arabidopsis thaliana Col-0 of 11-day-old seedlings, with 5 days of Pi deficiency5 µg/well of microsomal protein extracted from Arabidopsis thaliana roots. Microsomal protein was isolated using the Minute™ Plant Microsomal Membrane Extraction Kit (Invent Biotechnologies, MM-018) according to the manual instructions. The resulting pellet was solubilized with buffer containing 1% sodium 4-hexylphenylazosulfonate (Na-Azo, Excenen Pharmatech), 100 mM triethylammonium bicarbonate (TEABC, Sigma), pH 8.5, 2× Protease inhibitor cocktail (Sigma-Aldrich) and 1 mM phenylmethylsulfonyl fluoride (PMSF), and denatured with buffer containing 1× NuPAGE™ LDS Sample Buffer (Invitrogen) and 100 mM dithiothreitol (DTT) at 70°C for 15 min. Samples were loaded into 4–12% Q-PAGE™ Bis-Tris Precast Gel (SMOBIO) SDS-PAGE and blotted to Immobilon®-P PVDF membrane (Millipore, pore size of 0.45 µm) for 1 h using wet transfer. Blot was blocked with 1% BSA in 1× PBS solution with 0.2% Tween 20 (PBST, pH 7.2) for: 1 h/RT with agitation. Blot was incubated in the primary antibody at a dilution of 1: 5,000 in PBST containing 1% BSA for 1 h/RT with agitation. The antibody solution was decanted, and the blot was washed 4 times for 5 min in PBST at RT with agitation. Blot was incubated in matching secondary antibody (Goat anti-Rabbit IgG (H&L), HRP conjugated, AS0 602, Agrisera) diluted to 1: 25 000 in PBST containing 1% BSA for 1 h/RT with agitation. The blot was washed as above and developed with a following chemiluminescent detection reagent. Exposure time was 30 seconds.
Courtesy of Dr. Tzu-Yin Liu, National Tsing Hua University, Taiwan
- Additional Information
-
Additional information (application): The peptide used to ecilit this antibody has low identity with PIP2;1, PIP2;2, PIP2;3, PIP2;4, PIP2;5, PIP2;6. - Background
-
Background: Plasma membrane aquaporin, PIP2;7 is water channel protein required for water transport across cell membrane. Alternative names: plasma membrane intrinsic protein 2-7, AtPIP2;7, plasma membrane intrinsic protein 3, salt stress-induced major intrinsic protein, PIP3a - Protocols
-
Agrisera Western Blot protocol and video tutorials
Protocols to work with plant and algal protein extracts
Agrisera Educational Poster Collection - Reviews:
-
This product doesn't have any reviews.
Accessories
AS22 4789 | Clonality: Polyclonal | Host: Rabbit | Reactivity: Amaranthus cruentus, Arabidopsis thaliana, Beta vulgaris
AS07 260 | Clonality: Polyclonal | Host: Rabbit | Reactivity: [global antibody] for di- and monocots, conifers, ferns, mosses, green algae | Cellular [compartment marker] for plasma membrane
Benefits of using this antibody
